歯がしみる原因は虫歯?知覚過敏?|福岡市中央区天神の歯科・矯正歯科・美容歯科|天神HIT歯科|土曜診療

〒810-0001福岡県福岡市中央区天神1-14-18 天神ブリッククロス南2F

092-401-1951

WEB予約 WEB予約(EPARK)
天神HIT歯科

歯がしみる原因は虫歯?知覚過敏?

歯がしみる原因は虫歯?知覚過敏?|福岡市中央区天神の歯科・矯正歯科・美容歯科|天神HIT歯科|土曜診療

2026年4月11日

歯がしみる原因は虫歯?知覚過敏?

歯がしみる症状は、冷たいものや甘いもの、時には風に触れただけでも鋭い痛みを感じることが特徴で、多くの場合「知覚過敏」が関係しています。正式には象牙質知覚過敏と呼ばれ、歯の内部にある象牙質が露出することで、外部からの刺激が神経に伝わりやすくなる状態です。

健康な歯では、表面がエナメル質や歯ぐきによって保護されていますが、歯ぐきが下がったり、強いブラッシングによってエナメル質が摩耗したりすると、象牙質が露出してしまいます。また、歯ぎしりや食いしばり、酸性の飲食物の摂取も原因の一つです。これにより、冷水や甘味、乾燥した空気などの刺激が神経に直接伝わり、「キーン」とした痛みとして感じられます。

一方で、歯がしみる原因は知覚過敏だけとは限りません。初期のむし歯や、歯の亀裂(クラックトゥース)、詰め物や被せ物の劣化などでも同様の症状が現れることがあります。そのため、自己判断せず歯科医院での診断が重要です。

治療としては、知覚過敏の場合、象牙質の表面をコーティングする薬剤の塗布や、専用の知覚過敏用歯磨き粉の使用が効果的です。症状が強い場合には、樹脂でコーティングしたり、神経の処置が必要になることもあります。また、ブラッシング圧の見直しや、やわらかめの歯ブラシの使用など、日常のケア改善も重要です。

予防のポイントとしては、力を入れすぎない正しい歯磨き、酸性飲食物の摂りすぎを控えること、歯ぎしりがある場合はナイトガードの使用などが挙げられます。歯ぐきの健康を保つことも、象牙質の露出を防ぐうえで大切です。

歯がしみる症状は軽く見られがちですが、放置すると悪化する可能性があります。早めに原因を特定し、適切な処置を受けることで、症状の改善と再発予防につながります。

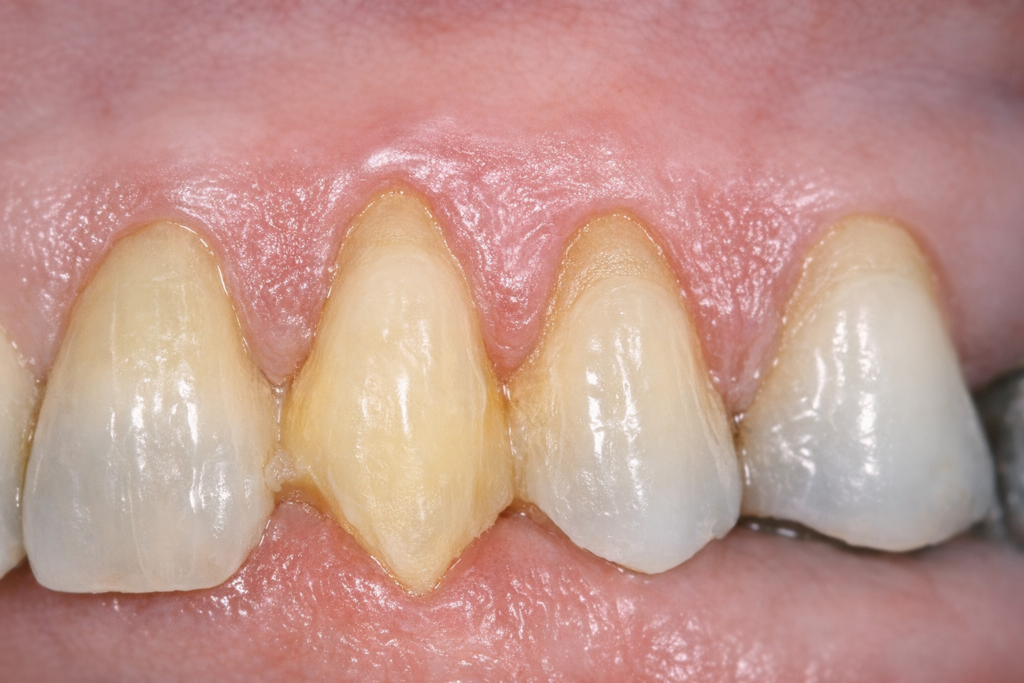
この症例は、歯ぐきが下がる「歯肉退縮」によって、本来歯ぐきに覆われているはずの歯の根元部分が露出している状態です。歯の根の表面にはエナメル質が存在せず、刺激に敏感な象牙質が直接外部にさらされています。そのため、冷たい水や歯ブラシの接触といったわずかな刺激でも、鋭い痛みを感じやすくなります。

このような状態は、象牙質知覚過敏の典型的な原因の一つです。主な要因としては、強すぎるブラッシング、歯周病、加齢、さらには歯ぎしりや食いしばりなどが挙げられます。また、写真のように歯の根元がくさび状に削れている「くさび状欠損」を伴うことも多く、これもしみる症状を悪化させる要因となります。

この状態を放置すると、症状の悪化だけでなく、歯の寿命にも影響を及ぼす可能性があります。早期に適切なケアや治療を行うことが重要です。

この写真は、しみる症状の原因となる象牙質知覚過敏に対して行う基本的な処置の一つ、「知覚過敏抑制剤の塗布」を示しています。歯ぐきの退縮や摩耗によって露出した象牙質には、無数の細い管(象牙細管)が存在しており、ここを通じて冷水やブラッシングなどの刺激が神経に伝わります。

この処置では、専用の薬剤を歯の表面に塗布することで象牙細管を封鎖し、刺激が内部に伝わるのを防ぎます。処置自体は短時間で終了し、痛みもほとんどありません。軽度から中等度の知覚過敏に対して非常に有効で、即効性が期待できる場合もあります。

また、症状の程度によっては、レジン(樹脂)によるコーティングを行うこともあります。これは歯の表面を物理的に覆うことで外部刺激を遮断し、より高い効果を得る方法です。

ただし、これらの処置はあくまで対症療法であり、原因となるブラッシング圧や生活習慣の改善も重要です。適切なセルフケアと定期的な歯科受診を組み合わせることで、症状の再発防止につながります。

TOP